X
二維碼
  1. 首頁 > 消毒滅菌 >

香港陳先生前牙缺失種植案例

發佈時間:2019-10-22

       患者:陳先生,來自香港,主要訴求為前牙門牙修復,恢復美觀。

       檢查情況:前牙缺失

       治療方案:前牙種植修復

       選擇種植體:韓國登騰種植體
 

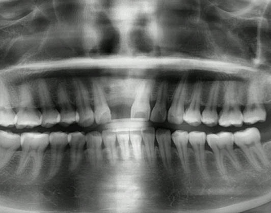
術前照片
 
術中照片
 
温馨提示: 牙科問題歡迎電話諮詢+852 6847 2582(香港)、+86 132 6696 2630(深圳),提前預約,報銷口岸至牙科車費30元内,避免排隊、免專家掛號費、享受牙科診療最新折扣優惠。
維港口腔,立足深圳羅湖、深圳福田、珠海,為粵港澳市民提供專業的牙科服務。
專家團隊International Experts
預約登記Online booking

+852 6847 2582 咨詢電話

09:30-18:30 節日與週末照常應診

電話:852 6847 2582

拎400蚊優惠券!
香港品牌 過關即到

電話聯係客服

點擊「確定」,馬上聯係客服進行免費諮詢預約!

WeChat ID已複製

點擊「打開微信」進入微信,點右上⊕,粘貼ID,添加客服開始免費諮詢!

WhatsApp客服諮詢

點擊「確定」,即可諮詢預約維港口腔,並申請免X-Ray費用,免問診金費用!