患者,男,63周歲,因進食時致上前牙折斷來診,三天前曾他院行“根管治療”術
檢查:21冠中1/3斜行折斷,根管口見白色暫封物,叩(-),患者自帶X片示根充完善,牙周膜連續清晰

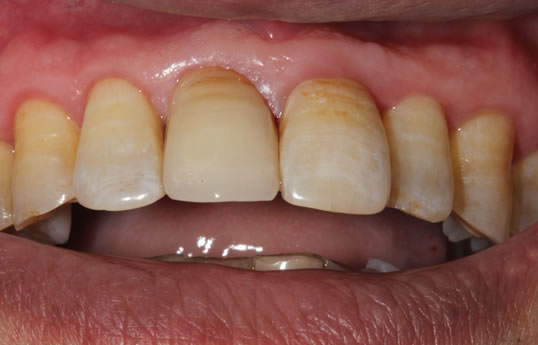
斷牙根管治療後處理:11牙體製備,纖維樁修復,一周後戴入烤瓷牙。

戴入烤瓷牙後
點擊「確定」,馬上聯係客服進行免費諮詢預約!
點擊「打開微信」進入微信,點右上⊕,粘貼ID,添加客服開始免費諮詢!
點擊「確定」,即可諮詢預約維港口腔,並申請免X-Ray費用,免問診金費用!